Ginzafusou - All About Everything

Empyreal: The Best Indie Game from the North - Game Republic Awards 2025
The Queen of Versailles: A Musical Exploration of Wealth, Dreams, and Tragedy
Texas AG Sues Kenvue: Tylenol Autism Link Blocks Dividend!
Disney's Epic New Heroes and Villains Themed Cruise Ship Tour in 2023!
Jonas Brothers Meet Scott Kelly: From Viral TikTok to The Tonight Show
Namibia's Green Revolution: Turning Waste into Wealth at the ReThink Waste GreenCycle Expo
Leon Draisaitl Scores Twice in Oilers' Loss | NHL Highlights & Analysis
UK Court Rules BHP Liable for Brazil's Worst Environmental Disaster
What Hi-Fi? Awards 2025: Unveiling the Best Home Cinema and AV Products
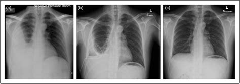
Tuberculous Pleuritis: Radiological Characteristics and Diagnostic Yield Correlation
Breaking Through: Treating Neurological Symptoms of Fanconi Anemia - A URI Research Study
Tracy Cortez Embraces Role Model Status Ahead of UFC 322: "I'm Trying Really Hard"
Australia's Historic First Treaty with Aboriginal People: A New Chapter for Victoria
Ben Fogle's Rare Glimpse of Sister Tamara: A Family Bond and Career Paths Revealed
Real Madrid Reject Juventus' Shocking Swap Deal for Arda Guler & Kenan Yildiz! ⚽️
London Judge's Verdict: BHP Group Liable for Brazil's Devastating Dam Collapse
ChargePoint's Next-Gen EV Charging Platform: Revolutionizing Fleet & CPO Management
Pluribus Episode 3: Uncovering the Hive Mind's Achilles' Heel
Flavia Pennetta on Jannik Sinner's Tennis Legacy: A Rising Italian Star
US Stocks: Tech Sell-Off Deepens, Fed Rate Cut Uncertain
New Law Makes Prescription Drugs Over-the-Counter: What You Need to Know
Top 10 U.S. Cities for Gen Z Workers in 2025: Midwest Takes the Lead!
Future of Creativity & Innovation: Insights from Uganda's Silverback Creative Week
Global Agri-Food Boom: Premium Products Gain Accelerated Access to the Chinese Market
6 Canadian Cities Make the List of Richest Cities in the World
Beyond the C-Suite: How Companies Are Expanding 10b5-1 Trading Plans for Employees
Horizon Steel Frontiers: MMO on PC & Mobile, NOT PS5?! What's Going On?
Jen Smith (CIISA) on How to Stop Bullying & Boost Creativity in Film & TV
Walmart CEO Doug McMillon Retires: John Furner Takes Over - What Happens Next?
NYC MTA Fare Hike 2026: What You Need to Know | Subway, Bus, LIRR Changes Explained
Teni x Gunna - 'Speed' Official Music Video | Afrobeats Meets Trap
Belarus 3-0 Cymru | UEFA U21 Championship Qualifying Highlights
Fujifilm X-T5 for Wildlife Photography: The Brutal Truth (Real-World Test)
Why I Walked Away from Science's Top Publisher: A Professor's Story
F1 2026 Rules REVEALED! Two Pit Stops, New Liveries & More! (F1 Commission Meeting)
Modi's Coalition Sweeps Bihar Elections: A Landslide Victory and Its Impact
Spurs vs Warriors Rematch: Can San Antonio Stop Steph Curry & Defend the 3-Point Line?
Supermodel Roshumba Williams' 100-Carat Tanzanite Jewelry Look at CMA Awards
F1 ACADEMY: All Teams Unite for Female Motorsport Revolution
Revolutionary Cell Imaging: Visualizing DNA & RNA with Harmless Light
US-Switzerland Tariff Deal: Major Relief for Swiss Watchmakers!
Vaibhav Suryavanshi 144 Off 42 Balls! India A vs UAE Asia Cup Rising Stars 2025 Highlights
Miley Cyrus - Dream As One (Official Audio) | Avatar: Fire and Ash Soundtrack
Jim Henson's Labyrinth Returns to Theaters in 4K for 40th Anniversary! 🎉🎬
Megadeth's Fiery Farewell: 'I Don't Care' Shakes Up the Metal Scene
SAD or Just Winter Blues? Experts Explain Seasonal Depression Symptoms & Treatments
Google's AI Agent, SIMA 2, is Gaming Like a Pro in Goat Simulator 3!
Uganda and Tanzania Boost Cybersecurity Collaboration: Landmark Digital Visit Explained

Popular Posts

Why Won’t My Hair Hold a Curl? Here's What’s Wrong and How to Fix It
6 refillable travel containers that are as stylish as they are sustainable
16 besten Darknet-Seiten & wie Du sie sicher öffnest in 2025
Trending Ecommerce Products To Sell Online in 2025
View a map over time  |  Google Earth  |  Google for Developers
China Map | Detailed Maps of People's Republic of China
2025 Comparison of the Most Popular Streaming Devices
Neue AIDA Tarife im Überblick: Für Buchungen ab 15.7.2025
Ear, Nose and Throat – Nasal Douching
Die besten Bodypainting Bilder – Kunstwerke auf Haut
Forget Resveratrol, Tannins Key to Heart Health from Wine
Home - SuperCleaners
Black Lab Grey Hairs: What's The Cause?
How and what to sterilize manicure tools | ThePilochki
Adult Diapers For Active Lifestyles - Embrace Life
Access CNN Live TV channels. | CNN
How to Install and Set Up R
Josh Berry - Random 8 - British Comedy Guide
The Future of Remote Sensing: AI and Machine Learning Integration - Geographic Book
Sephora stakes its claim in skin care with multichannel campaign
These Lash Growth Serums Had Strangers Swearing We Had on Falsies
Amino Acids Reference Chart
Alle Mühen wert – Ford Trimotor als Großmodell - MFI Magazin
Les Chutes du Rhin : Tout ce que vous devez savoir avant de partir
The 11 Best Self-Tanning Lotions for Summer, According to Experts
Harappa | Encyclopedia.com
Erweiterungen installieren und verwalten - Chrome Web Store-Hilfe
News Schweiz: Aktuelle Nachrichten & Ereignisse der Schweiz
Falsche Angaben, Betrug und Rücksendekosten - eBay-Kleinanzeigen
9 Different Types of Love According to the Ancient Greeks
Can herbs help with erectile dysfunction? What to know
Our Top 10 Permanent Makeup Tattoo Machines for PMU Artists
Trending now on Bing - Current Trending Topics - Today Bing News
Game Length for Clair Obscur Expedition 33 (Act List)
Aktuelle Nachrichten online - FAZ.NET
Dubai Municipality launches new online system for building permits and control services
HHS breaks with major U.S. medical groups in review of pediatric gender care
How to select the fastest apt mirror on Ubuntu Linux
Desteklemeyen tv ye netflix kurma | DonanımHaber Forum
Buy the Dynamix FPP-MPOSM-LC24 SM MPO to LC Fibre Cassette - 12 Port - 24... ( FPP-MPOSM-LC24 ) online
Self-Development: 10 Self-Improvement Tips for Personal Growth
Are you considering a DIY Russian manicure? Here's what you need to know
The Phoenician Scheme Review: Benicio del Toro is terrific in Wes Anderson's latest
10 Best Tattoo Ink Brands On The Market In 2024
Domestic Flights and Tickets Reservation|ANA
China constrói maior sistema energético integrado do mundo
When is the best time to post on TikTok UK? Complete guide for all businesses
CVS Pharmacy - Washington, NJ